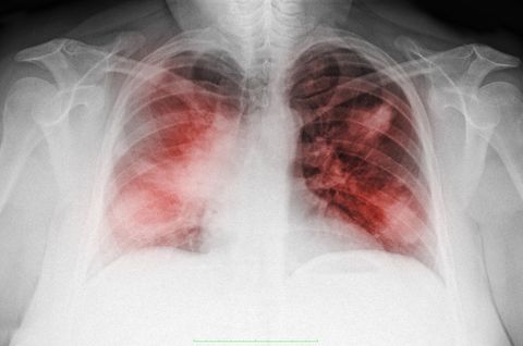
Descripción general
La neumonía es una infección que inflama los sacos aéreos de uno o ambos pulmones. Los sacos aéreos se pueden llenar de líquido o pus (material purulento), lo que provoca tos con flema o pus, fiebre, escalofríos y dificultad para respirar. Diversos microrganismos, como bacterias, virus y hongos, pueden provocar neumonía.
La neumonía puede variar en gravedad desde suave a potencialmente mortal. Es más grave en bebés y niños pequeños, personas mayores a 65 años, y personas con problemas de salud o sistemas inmunitarios debilitados.
Síntomas
Los signos y síntomas de la neumonía varían de moderados a graves y dependen de varios factores, como el tipo de germen que causó la infección, tu edad y tu salud en general. Los signos y síntomas moderados suelen ser similares a los de un resfrío o una gripe, pero duran más tiempo.
Los signos y síntomas de la neumonía pueden incluir lo siguiente:
- Dolor en el pecho al respirar o toser
- Desorientación o cambios de percepción mental (en adultos de 65 años o más)
- Tos que puede producir flema
- Fatiga
- Fiebre, transpiración y escalofríos con temblor
- Temperatura corporal más baja de lo normal (en adultos mayores de 65 años y personas con un sistema inmunitario débil)
- Náuseas, vómitos o diarrea
- Dificultad para respirar
Factores de riesgo
- Estar hospitalizado. Tienes un mayor riesgo de contraer neumonía si te encuentras en la unidad de cuidados intensivos de un hospital, especialmente, si estás conectado a una máquina que te ayuda a respirar (ventilador).
- Enfermedad crónica. Eres más propenso a contraer neumonía si tienes asma, enfermedad pulmonar obstructiva crónica (EPOC) o una enfermedad cardíaca.
- El fumar daña las defensas naturales que tu cuerpo presenta contra las bacterias y los virus que causan neumonía.
- Sistema inmunitario debilitado o suprimido. Las personas que tienen VIH/SIDA, que se han sometido a un trasplante de órganos o que reciben quimioterapia o esteroides a largo plazo están en riesgo.
